


Alinhadores Invisalign são virtualmente invisíveis. Isso significa que você sempre pode sorrir com confiança.
Os alinhadores Invisalign são feitos com material flexível SmartTrack®, tornando-se super fácil de colocar e remover. Agora, você pode apreciar a sua comida favorita a qualquer hora, sem restrições.
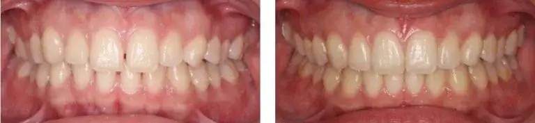
A tecnologia aplicada aos alinhadores Invisalign garantem que cada movimento dos seus dentes durante o tratamento será gradual, suave e eficaz.
Você começará a ver os primeiros resultados em poucas semanas. O tempo total de tratamento dependerá da complexidade do seu caso.
O tratamento Invisalign permite que você visualize todas as fases do progresso, dando-lhe uma visão mais clara do andamento do tratamento.
Como os alinhadores Invisalign são removíveis, você poderá usar o fio dental e escovar os dentes normalmente.
Já em sua primeira consulta realizamos o Escaneamento Digital 3D do seu sorriso. Com ele a Dra. Carolina fará o planejamento detalhado do seu tratamento para que os alinhadores sejam produzidos de forma personalizada para você.
Após a definição do seu planejamento personalizado, faremos o pedido de fabricação dos alinhadores diretamente para a Align Technology, nos Estados Unidos. O prazo de entrega é rápido e todos os alinhadores necessários chegam de uma só vez.
A colocação é rápida, confortável e indolor. Você usa um conjunto de alinhadores por cerca de 7 a 14 dias, depois troca para um novo conjunto de alinhadores e assim sucessivamente até o fim do tratamento. Os dentes irão se mover gradualmente a cada troca dos alinhadores.
Diferente dos aparelhos convencionais, o sistema Invisalign não exige visitas tão frequentes ao dentista, de qualquer forma é necessário que seja feito o acompanhamento periódico e avaliação geral do tratamento junto ao Dentista.























